Chirurgia stomatologiczna na najwyższym poziomie
Zabieg usunięcia zęba z punktu widzenia pacjenta wydaje się być prosty i szybki do wykonania. Równie często kojarzony jest jednak z bólem i komplikacjami po ekstrakcji w postaci trudno gojącej się rany. Czy te stereotypowe opinie mają odbicie w rzeczywistości? Pytamy o to Doktora Daniela Dłucika, uznanego chirurga stomatologicznego z kilkudziesięcioletnią praktyką.
– Panie doktorze ile usunął Pan w swojej karierze zębów?
Nigdy tego dokładnie nie liczyłem, ale myślę, że kilka jeżeli już nie kilkanaście tysięcy. Od prawie 40 lat wykonuję ekstrakcje więc można śmiało powiedzieć, że nomem omen „zjadłem w tym temacie zęby” 😉
– Czy to prawda, że każdy zabieg musi być bolesny?
Ból jest nierozłączną cechą każdej zewnętrznej ingerencji w obręb ludzkiego ciała. Szczególne unerwienie zębów sprawia, że ból w obrębie szczęki lub żuchwy odczuwany jest ze spotęgowaną siłą. Oczywiście od bardzo wielu lat stosowane są środki znieczulające, dzięki którym pacjenci nie odczuwają prawie w ogóle bólu, a Ci z najniższą tolerancją zawsze mogą wykonać ekstrakcje z całkowitym znieczuleniu. Osobiście nie jestem jednak zwolennikiem tej metody. Wolę gdy znieczulony pacjent świadomie reaguje na wykonywany zabieg. Generalnie dzisiejsza medycyna daje nam tak szerokie spektrum znieczulania, że praktycznie jesteśmy wykonać prawie każdy zabieg ze świadomym (nie uśpionym) pacjentem. Oczywiście zdarzają się przypadki gdy stan zębów jest tak dramatyczny, że należy podjąć decyzję o usunięciu kilku – a osobiście pamiętam skrajane przypadki zepsutych przez próchnicę kilkunastu zębów jednocześnie – wtedy można rozważyć pełną narkozę. Dobry dentysta zawsze znajdzie optymalne rozwiązanie.
– Które zęby usuwa się najczęściej i dlaczego?
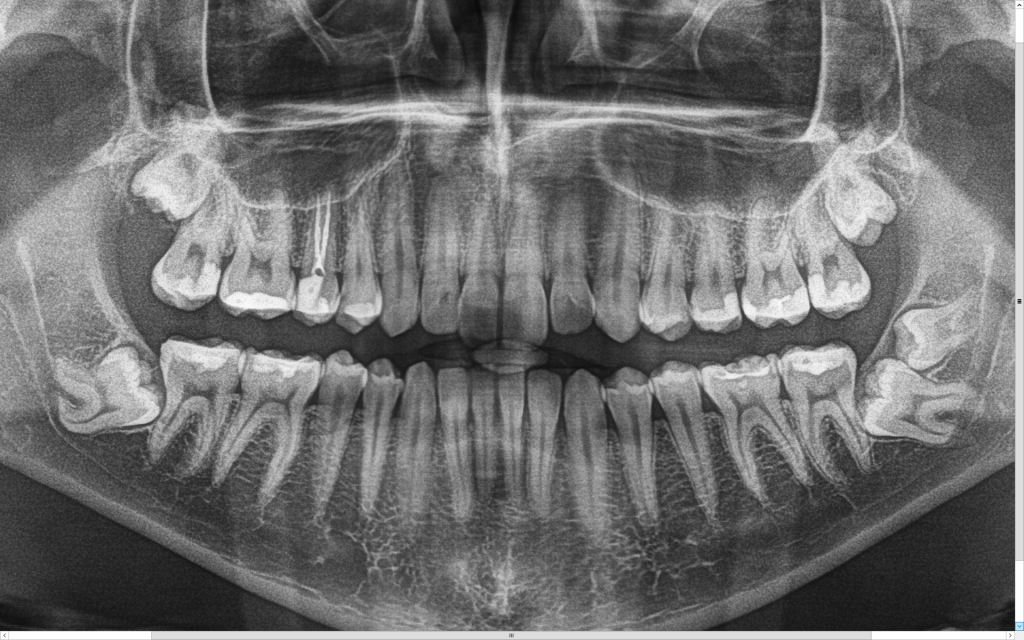
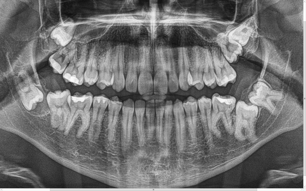
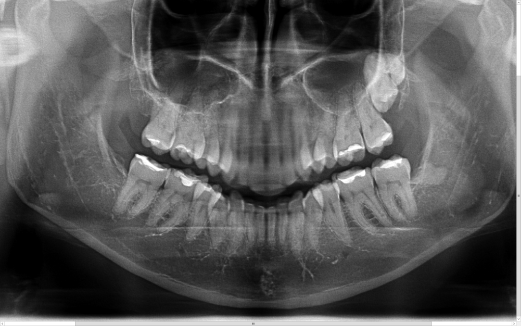
Z uwagi na moją specjalizację kierowani są do mnie pacjenci z tzw. zębami mądrości – ósemkami, które ze względu na ułożenie w kości wymagają operacyjnego usunięcia. Zdarzają się również pacjenci z mezjodensami (fot. 1,2) zębami nadliczbowymi np. dziewiątkami (fot.3), zębami zatrzymanymi (fot 4.), lub zębami zrośniętymi (fot. 5,6). Stomatolog z długą praktyką nie raz w swojej karierze zetknął się z takimi przypadkami.






Niestety często zgłaszają się pacjenci z pozostawionymi korzeniami po nieudanych ekstrakcjach. Wszystkie te przypadki wymagają zabiegów operacyjnych. Kolejnym pod względem ilości wykonanych ekstrakcji przypadkiem są zęby zniszczone przez próchnicę. Przy obecnej technice dentystycznej istnieją co prawda możliwości regeneracyjne nawet najbardziej zaniedbanych zębów, ale często ich fatalny stan powoduje, że lepszą opcją jest usunięcie takiego zęba i w jego miejsce wprowadzenie implantu niż jego bardzo kosztowne ratowanie. Trzecią odrębną grupą są zęby mleczne, z którymi dzieci i rodzice często sami dają sobie radę 😉 tylko czasami wymagają nieznacznej pomocy, a tej zawsze może udzielić chirurg stomatolog. Do skrajnych przypadków należą osoby, które chcą usunąć lub modyfikować swoje uzębienie, aby się upodobnić do kogoś innego (np. człowiek – jaszczurka czy człowiek kot) ale to dosyć osobliwe, choć już parę razy w ostatnich latach byłem pytany czy wykonałbym taki zabieg. Zdowy ząb do usunięcia to nie najlepszy pomysł, dlatego zawsze odmawiam. Doświadczony chirurg dentystyczny skupia się przede wszystkim na rzetelnym wykonywaniu ważnych zabiegów dla pacjenta; implanty, endodoncja, ekstrakcja zęba.
– Jakie mogą być powikłania po zabiegu ekstrakcji zęba?
Najczęstszym powikłaniem po ekstrakcji zęba jest suchy zębodół. Jego przyczyny mogą mieć wielorakie podłoże, takie jak; niepowstanie lub rozpad skrzepu powstałego po ekstrakcji zęba, wypłukanie skrzepu po ekstrakcji, problemy krzepliwości, hemofilia, picie gorących napojów natychmiast po ekstrakcji, mechaniczny uraz ściany kostnej zębodołu. Na szczęście nie są to zbyt częste przypadki – dobrze poinstruowany jak zachować się po ekstrakcji pacjent i właściwe wykonanie zabiegu pozwalają zasadniczo uniknąć tego problemu. Leczenie suchego zębodołu trwa przeważnie do 3 tygodni, stosuje się leczenie antybiotykowe wspomagane lasero lub ozonoterapią. Z naszego doświadczenia wynika, że szczególnie ta ostatnia metoda przynosi szybkie efekty leczenia. Innym powikłaniami są przedłużone krwawienia po ekstrakcji, połączenie z zatoką szczękową. Powikłania te również wymagają pilnego zaopatrzenia chirurgicznego.
Praktyka Dentystyczna doktora Daniela Dłucika w Katowicach oferuje szeroki zakres usług: chirurgia stomatologiczna, stomatologia zachowawcza, protetyka, implantologia, endodoncja, wybielanie zębów.