Modern prosthetics – ZIRCON
Polycrystalline ceramics of zirconium oxide
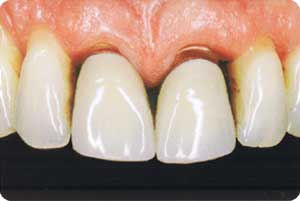
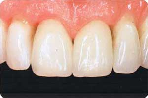
Zircon crowns and bridges guarantee perfect aesthetics, bio-compatibility, durability and functionality. In dentistry, after the introduction of zirconium ceramics – which has two times greater durability than aluminum oxide ceramics – it has become possible to make extensive side bridges. This compound is widely used in many branches of science and medicine, has been tested in extreme situations – for example, space-shuttle thermal-protection coatings, sports cars brake discs, and medicine in artificial hip joints. Due to its visual qualities it also regarded as a good simulant of diamond.



