Korony zębowe

Korona zęba to pokryta szkliwem część zęba najbardziej wystająca ponad powierzchnię dziąsła. Jest bardzo ważna w procesach gryzienia oraz żucia. Gdy ulegnie uszkodzeniu wskutek złamania, ubytku próchniczego czy przebarwienia, można zastosować protetyczne uzupełnienie w postaci korony zębowej.
Jej zastosowanie jest idealnym rozwiązaniem na wiele problemów z uzębieniem.
Korona zębowa sprawdzi się między innymi jako środek zapobiegający uszkodzeniu zęba. Jeśli twój ząb jest słaby i wrażliwy korona może uchronić go przed próchnicą, pęknięciem czy złamaniem. Może posłużyć też do odbudowy już uszkodzonych zębów. W przypadku złamania zęba przywraca nie tylko jego dawny wygląd ale też funkcjonalność, zapewniając prawidłowy zgryz i umożliwiając gryzienie oraz żucie zupełnie jak zdrowym zębem.
Jeśli z jakiegoś powodu twoje zęby wyglądają nieestetycznie, są przebarwione lub zdeformowane, zastosowanie korony zębowej przywróci im ładny, zdrowy wygląd.
Korony zębowe są również stosowane, gdy zęby zostały uszkodzone w wyniku interwencji stomatologicznej. Między innymi, gdy ubytki w zębie spowodowane leczeniem kanałowym są niemożliwe do odbudowania innymi metodami.
Korony zębowe można podzielić ze względu na stopień pokrycia naturalnego zęba. Wyróżniamy korony częściowe, które pokrywają jedynie fragment zęba, wykorzystywane do skorygowania mniejszych ubytków, korony osłaniające, które osłaniają całego zęba, odtwarzają jego wygląd i funkcje oraz są najczęściej spotykanym zabiegiem protetycznym oraz korony całkowite, nazywane inaczej zębami ćwiekowymi, których celem jest odbudowa zniszczonej korony fizjologicznej. Ze względu na materiał z jakiego są wykonane, korony zębowe dzielimy na trwałe korony pełnoceramiczne i korony na podbudowie z tlenku cyrkonu oraz te o bardziej krótkotrwałym zastosowaniu czyli korony akrylowe, korony kompozytowe oraz korony metalowe.
Zakładanie koron zębowych wiąże się zwykle z dwoma wizytami w gabinecie dentystycznym. Podczas pierwszej wizyty ząb jest przygotowywany i szlifowany przed osadzeniem korony. Druga wizyta kończy się założeniem stałej korony. Podczas badania zęba zwracamy szczególną uwagę na stan zdrowia korzenia zęba. Jeśli ząb lub korzeń są uszkodzone lub istnieje ryzyko ich uszkodzenia, konieczne jest wyleczenie zęba przed nałożeniem korony. Gdy nie ma innych przeciwwskazań, ząb jest oszlifowywany pod znieczuleniem aby przygotować go na osadzenie korony. Wcześniej jednak konieczne jest pobranie wycisku, na podstawie którego stworzona zostanie właściwa proteza. Ząb przygotowany do osadzenia korony, przed wykonaniem zabiegu jest chroniony przez zakładaną podczas pierwszej wizyty koronę tymczasową. Podczas ostatniej wizyty tymczasowa korona jest usuwana a na jej miejsce zakłada się na stałe właściwą koronę zębową.
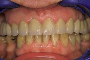
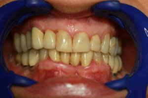
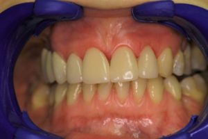
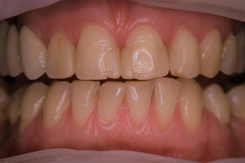
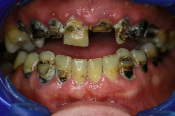
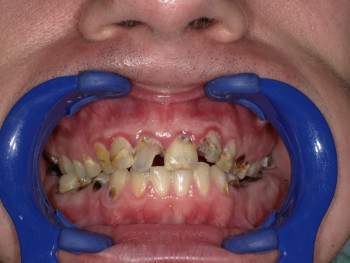
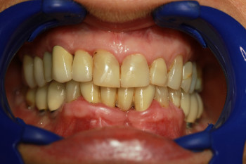
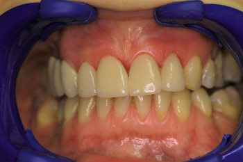
Korony zębowe, przykłady przed i po:









