Wybielanie zębów

Marzysz o białych zębach? Szukasz trwałej i bezpiecznej metody wybielania? W naszej klinice mogą Państwo wykonać wybielanie zębów dwiema metodami – gabinetową oraz domową (nakładkową).
Zabieg wybielania zębów
W Dłucik Dental Clinic polecamy pacjentom jedną z najlepszych metod wybielania zębów, czyli wybielanie laserowe. Zabieg polega na wybielaniu zębów z użyciem specjalnego żelu wybielającego oraz naświetlaniu.
Przed wybielaniem należy odpowiednio przygotować do niego zęby. Powinny być zdrowe, dlatego należy wyleczyć wszelkie ubytki i próchnicę. Ważny jest też stan ogólny jamy ustnej, trzeba więc uporać się najpierw również ze stanami zapalnymi. Przed zabiegiem stosuje się oczyszczanie z kamienia i osadu (skaling, piaskowanie), po którym należy odczekać przynajmniej dobę, nim przejdzie się do właściwego wybielania.
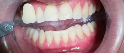
PRZED / PO


Bezpośrednio przed rozpoczęciem wybielania zębów, stomatolog zakłada specjalną, chroniącą dziąsła i usta, osłonę oraz okulary osłaniające oczy przed światłem lasera. Sam zabieg polega na nałożeniu na zęby żelu wybielającego, a następnie naświetlanie lampą przez ok.10 min. Proces powtarza się kilkakrotnie aby uzyskać pożądany efekt.
Wizyta trwa do półtorej godziny. Laserowe wybielanie zębów pozwala uzyskać zęby bielsze nawet o 13 odcieni, a efekt ten utrzymuje się przez ok 2 lata. Rezultat w dużym stopniu zależy od podatności uzębienia na tego typu zabiegi, indywidualnych warunków pacjenta oraz nawyków żywieniowych. Duży wpływ na trwałość efektu ma nasza dieta i nawyki. Palenie papierosów zdecydowanie skraca czas utrzymywania się efektów wybielania laserowego. Wybielanie zębów to proces, w wyniku którego zęby są odwodnione. W związku z tym po zabiegu wchłaniają wszystkie barwniki, z którymi mają kontakt. Ważne jest, aby przez ok. 24 – 48 godzin po zabiegu przestrzegać tzw. diety białej, czyli unikać picia kawy, herbaty czy wina oraz nie spożywać barwiących produktów m.in. jagód czy buraków.
Podczas wybielania i kilka dni po jego zakończeniu może wystąpić przejściowa nadwrażliwość zębów na zimno. Dobrym rozwiązaniem w takiej sytuacji jest preparat odwrażliwiający, aplikowany w gabinecie oraz używanie specjalnej pasty do zębów znoszącej czułość.
Wybielanie jest bezpieczne dla zębów. Żel wybielający nie narusza struktury szkliwa, a jedynie wnika w kanaliki zębiny powodując utlenianie (czyli odbarwianie) przebarwień. Dlatego nie należy obawiać się jakichkolwiek zniszczeń w obrębie zębów. Wrażliwość zębów po zabiegu wynika z odblokowania się kanalików zębiny, a nie z uszkodzenia szkliwa.
Zabieg nie jest przeznaczony dla dzieci, ani młodzieży poniżej 16 roku życia, u kobiet w ciąży i okresie laktacji. Ze względów etycznych nigdy nie przeprowadzano żadnych badań, które mogłyby wykazać, jak substancje oraz urządzenia wykorzystywane podczas wybielania wpływają na zdrowie przyszłej matki oraz rozwój płodu. Dlatego też doświadczony stomatolog zaprosi ciężarną pacjentkę do gabinetu dopiero po rozwiązaniu.
Do produkcji żelu wybielającego użyto zaawansowanych technologicznie składników tak, aby skutecznie pozbyć się przebarwień na zębach. Przy zastosowaniu metody możemy osiągnąć biel o 7, 8 odcieni jaśniejszą od stanu obecnego. Efekt może się utrzymać od 2 do 3 lat. Oprócz funkcji wybielającej, posiada również zdolności naprawiania szkliwa zębów dzięki zawartemu nano-hydroksyapatytowi.
PRZED / PO


Nakładkowe wybielanie zębów w domu
Bezpieczeństwo i trwałość efektu daje również nakładkowe wybielanie zębów. Pobieramy wyciski w celu wykonania specjalnych, indywidualnych dla każdego Pacjenta, przezroczystych nakładek na zęby. To bardzo skuteczna i efektowna metoda poprawiania koloru zębów w domu. Do specjalnych szyn aplikuje się żel, który powoduje rozjaśnienie zabarwionych zębów. Nakładki umieszczane są na 6-8 godzin na powierzchnie zębów. Proces wybielania nakładkowego trwa do 14 nocy.
Wybielanie zębów martwych
Wybielanie zębów martwych polecamy pacjentom, u których doszło do obumarcia miazgi zęba. Takie zęby ciemnieją, stają się sine i zaburzają estetykę uśmiechu. Istota problemu tkwi wewnątrz zęba dlatego to właśnie tam precyzyjnie aplikujemy środek wybielający. Do osiągnięcia pożądanego efektu wymagane jest kilkukrotne powtórzenie takiego zabiegu w indywidualnie dobranych odstępach czasu.